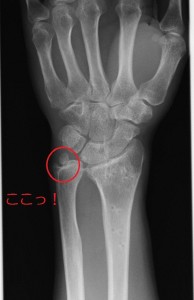
【事案】

自転車搭乗中、前方から右折してきた自動車に衝突され受傷。手首に骨折があり、曲がりも悪くなった。 【問題点】

相談に来られたのが受傷初期で、現在までの治療経過を確認したころ、骨折が確認できる程度の初期XP画像のみで、立証に必要な検査も未実施であった。その他、顔面に線状痕もあったが、3㎝にギリギリ届かなかった。

【立証ポイント】

まず、自宅近くの整形外科に転院し、手首のCT、両手のXPの撮影依頼。その後、順調にリハビリを半年間継続して、症状固定とする予定だったが、医師の希望で9カ月まで延びてしまった。それでも可動域の計測は、なんとか12級の数値に収まった。その12級を確定させるためには画像所見を固める必要があった。後遺障害診断時に癒合状態を確認しない医師で、転院時の画像しかなかったためである。そこで、骨折部の画像打出しを作成・添付するなど、骨折の癒合状態や可動域制限の信憑性を高めて申請をする。

最近は、骨折事案でも厳しい等級認定が行われるため、本件の等級結果が出るまでは不安であったが、可動域制限の等級がつく最高の結果となった。

(平成29年8月)  

続きを読む »

【事案】

T字路で自転車同士自転車の出会い頭衝突。両手関節を痛め、特に右手関節は尺骨突き上げ症候群となった。下図青丸の部分が小指側の手関節部にある「三角線維軟骨複合体」を突き上げて激痛が起きるのです。前腕~手関節の骨折で発症し、これもTFCC損傷の原因と言えます。この場合、手術で尺骨を骨切りして短縮し、突き上げを抑えることになります。

【問題点】

幸い、相手に個人賠償責任保険の加入があったが、長期の治療・リハビリからか、弁護士が介入してきた。相手弁護士は治療費と入通院の慰謝料を認め、自賠責基準程度での示談を画策のよう。

【立証ポイント】

私達の対応は普通の自動車事故と変わりません。手術の効果及びリハビリ努力の結果、両手関節ともに可動域は回復傾向で、機能障害は断念した。病院に同行し、主治医は面談拒否するも、疼痛の残存を記録した診断書を記載頂いた。今までお会いした手関節の専門医は、何故かすべて職人肌で頑固です。

診断書を提出後、相手からの回答は、疼痛の残存を認めて14級9号となった。連携弁護士の賠償交渉によって、赤本満額の賠償金に引き上げ中である。

(平成29年5月)  

続きを読む »

【事案】

自転車搭乗中、信号のない交差点で右方から来た車に衝突され転倒、肘と肋骨を骨折したもの。肘は手術でワイヤー固定した。

【問題点】

相談時には受傷から1年が経過しており、さらに、3か月前に保険会社から打切りをされていた。骨折部位・様態から、本来であれば肘関節の機能障害で申請を行うケースだが、可動域は既に12級を逃す数値まで改善していた。

【立証ポイント】

急ぎ、病院同行、症状固定とする。手術痕も残存したが、面積は等級認定には厳しい。可動域制限も若干は残存しているため、医師に計測していただき申請する。14級9号認定となったが、この診断名でムチウチと同様の等級は寂しい。少なくとも受傷から半年が経過する前に相談に来ていただければ、違った結果になったのではないかと考える。

※併合の為、分離しています

(平成29年6月)  

続きを読む »

【事案】

オートバイ走行中、交差点で対抗右折自動車と衝突、その衝撃で道路左側に逸脱、転倒したもの。直後から、両手首、左膝、右足首、臀部に強烈な痛みが生じる。

【問題点】

当初の診断名が右橈骨遠位端骨折、左手関節部挫傷・打撲となっていたが、その後すぐに自宅近くの病院に転院し、左手に関しては左有鉤骨骨折の診断名に変更された。その時点では前十字靭帯損傷、右距骨骨挫傷の診断名が記載されていなかった。

事故から2カ月経過後、ようやく左前十字靭帯損傷、右距骨骨挫傷の診断名が確認できた。その後、PTSD、網膜裂孔等次々に診断が増えていくことになった。

また、業務上支障が出ること、さらに転勤で大阪から東京に移転のため、手術などできる治療先の確保を急ぐ必要があった。

【立証ポイント】

相談会では、まず、現在の症状の確認と手持ちのすべての画像を確認することから始まった。網膜裂孔についてはすでに後遺障害診断書にまとめられていたが、診断書や症状・検査内容を確認して、PTSDと共に等級は認められない可能性を説明し、残りの両手首の疼痛・可動域制限、左膝の疼痛と不安定感、右足首の疼痛でそれぞれ等級を確保する方針とした。

手関節は左右共に受傷しているので、可動域は日本整形外科学会の標準値と比較することになる。症状固定の際には大阪の病院に同行し、左右の手首の可動域は正確な数値を確保できた。しかし、主治医は下肢については関心がなく、下肢は東京の専門医へ誘致、下肢の検査を平行して進める。

受傷直後の手関節CTを確認したところ、右手の豆状骨等を骨折し、その後癒合不全や骨片が残存している可能性があった。しかし、この点は事故から時間が経ちすぎており、追加の診断して頂くことはできなかった。そこで、症状固定後に撮影した3DCTと事故当初のCTと併せて画像打出しを作成して申請した。後日、調査事務所から「この打ち出し画像の診断はどこでされたのか確認したい」連絡があったが、診断名はどこにもないことを伝えたところ、上部審査に回す運びとなった。顧問医の判断に委ねられたのであろう。

申請から約4か月後、両関節の可動域制限が認められ、併合9級が認定された。尚、この件は左前十字靭帯損傷、右距骨骨挫傷でも等級が認定されている。大阪と東京を往復し、作業内容も大変なボリュームとなった。

(平成29年3月)

続きを読む »

【事案】

自動車で交差点を直進のところ、右方より一時停止無視の自動車に側面衝突を受けた。頚椎捻挫の診断のほか、右手の甲、人差指~中指のMP関節部を傷めた。

【問題点】

右手の診断名は伸筋腱脱臼となった。手の甲(中手骨)から示指(人差指)、中指にかかる指の靱帯が、指の屈曲時に左右に動くようになってしまった。これは、どのような後遺障害に該当するのか? 20141217_1 【立証ポイント】

相談会で指の症状を確認、とりあえず頚椎と平行してリハビリの継続とした。その後、症状固定時に主治医と症状についてどのように診断書に記載するか打合せの上、診断書を作成、頚椎でも14級を確保できる内容に仕上げた。また、秋葉事務所ではおなじみのビデオ立証にて、指の曲げ伸ばしで伸筋腱が外れる?様子を撮影した映像を添付して申請を行った。

結果、細かいこと抜きに、症状の一貫性から頚椎と指の双方に14級9号が認められた。

(平成28年11月)  

続きを読む »

【事案】

バイクで交差点を直進のところ、右方よりの自動車と出会いがしら衝突。衝突により、母指基節骨、膝蓋骨、肋骨をそれぞれ骨折した。このうち、母指基節骨については粉砕骨折であった。

【問題点】

症状固定時期には母指、膝の各箇所に痛みが残存し、かつ、母指のIP関節(指節間関節)に可動域制限が残存した。前任弁護士が後遺障害の申請をするも非該当であった。IP関節の機能障害の立証・・経験のない先生では限界か。前任弁護士を解任した上で受任した。なお、異議申立をする頃には、膝の痛みは軽減していた。

【立証ポイント】

相談会で母指の基節骨をCTで確認したところ、関節面の不整を確認した。後遺障害診断書にもその旨の記載及び、それによる可動域制限についても記載があるにもかかわらず、可動域の数値が2分の1以下になっていなかった。日本整形外科学会の計測方法でもう一度計測を主治医に依頼したところ、2分の1以下の数値を計測した。ここまでは基本作業である。 kansetu_27 続いて、関節の変形が事故によるものであることを説明する必要があり、ケガをしていない健側の母指のCTを今回新たに撮影した。両方の指を比較、上記変形については本件事故によるものであることを改めて主治医に診察して頂いた。さらに、弊所得意のビデオ映像にて、指の関節を実際に曲げるところを撮影して提出した。

審査は5ヶ月を要したが、数値通り10級7号が認定された。このように10級をとるには緻密な立証作業が必要なのです。

MP関節(親指の根元)では認定経験があるが、IP関節では事務所初の認定となった。

(平成29年2月)  

続きを読む »

【事案】

自動車搭乗中、右方から相手方自動車が衝突、受傷した。事故直後から肘関節痛を訴え、半年後も痛みは持続した。

【問題点】

主治医の診断は捻挫に近いとの前提ながら、右肘関節靱帯損傷の診断名としていた。画像上、損傷が明確であれば12級13号が認められる可能性があるが、当然、調査事務所は明確な画像所見がない場合の靱帯損傷については否定する。そもそも、MRI撮影がされていなかった。

【立証ポイント】

主治医にMRI検査をお願いするところからスタートした。案の定、明確な画像所見は得られなかった。そこで、事故直後から右肘の疼痛が生じており、かつ、それが症状固定時まで継続していることから、症状一貫性を訴えた14級9号を目標に切り替えた。主治医には後遺障害診断書の他に、症状の経過について別紙に記載頂いた。結果、右肘関節靱帯損傷の器質的損傷なくとも、疼痛の遷延化が信用され、14級9号が認定された。

ムチ打ちはじめ器質的損傷のない後遺症をいかに自賠責調査事務所に伝えるか・・秋葉事務所での立証は医学的証明だけではなく、依頼者の訴える症状の信憑性を大事にしています。

(平成28年11月)  

続きを読む »

【事案】

自動車搭乗中、交差点内で右折待ち中、前方から飲酒運転の車が右折専用レーンを直進してきたため、正面から衝突を受ける。骨折した手関節を主訴に後遺障害申請をするも、結果は非該当であった。

【問題点】

相談に来られた時点で受傷から1年以上経過しており、病院にも5ヶ月以上行っていなかった。他にも多数骨折していたが、後遺障害の対象部位は手関節のみ、しかし、時間の経過と共に可動域制限は回復していた。  20141203_2 【立証ポイント】

まず、手首のCT撮影依頼。Drも協力的であり、快諾。CT画像から茎状突起と月状骨から遊離骨片がみられた。橈骨茎状突起の変形と疼痛の残存を理由に12級8号、あるいは13号を目指した。しかし、遊離骨片程度での変形狙いに調査事務所の怒りを買ったのか、1か月もしないうちに非該当の通知が来る。しかも神経症状(12級13号)の認定すらない。このような大怪我で非該当は納得がいかないため、異議申立をすることになった。Drに事情を説明し、再度書類を依頼。異議申立は長管骨の変形よりも、痛みの残存を主訴に立証を固めた。

申請をすると今回も1ヶ月も経たないうちに12級13号が認定される。まるで自賠責調査事務所はミスジャッジを認めたかのよう。審査には最低でも3ヶ月はかかると依頼者に説明していたので、このスピード認定には依頼者も驚いていた。本件のMVPは患者想いのDrである。

(平成28年12月)  

続きを読む »

【事案】

自動車搭乗中、前方からセンターラインオーバーの自動車に衝突され受傷。

【問題点】

相談に来られた時点で受傷から半年以上経過しており、病院には既に3ヶ月行っておらず、その間は整骨院で治療をしていた。ただちに症状固定に進めるべき。

【立証ポイント】

まず、手首のCT撮影依頼。Drも協力的であり、快諾。手首には依然として痺れや痛みがあるものの、癒合状態等は大丈夫とのこと。しかし、可動域制限が残存している。早速、可動域を計測していただき、12級の数値となった。後遺障害診断書には、患側の数値のみの記載だったため、健側の数値の追記を頂いた上、申請する。

癒合状態や治療経過を踏まえると14級9号になってしまうのではないかとハラハラしたが、機能障害(可動域制限)の認定を得て、依頼者も大満足の結果となった。

(平成28年8月)

続きを読む »

最終更新:2019.11.26

TFCC損傷による後遺障害を立証し労災12級6号を獲得

 

この被害者は自賠責の後遺障等級申請をしたが非該当。その後、異議申し立てをするが無残に非該当。2度も非該当を突き付けられた事案だった。

 

しかし秋葉事務所は自賠責に申請する段階で非該当を予測し、

労災で後遺症認定を獲得する為の準備をしていた。

 

非該当の理由は【問題点】にて記載しているが、どんなに酷い怪我をしていても、

プロセスが崩れると立証できずに、審査には落ちてしまう。

 

崩れたプロセスを立て直すのは簡単ではないが、なんとか労災での後遺症12級認定を勝ち取った事案紹介です。

 

仮に年収500万円だった人が労災の12級を獲得したら、貰える保険金額は約250万程になる。

保険金だけで250万円程である。

ちろんその後交通事故慰謝料を弁護士が増額交渉して、交通事故慰謝料の数百万が足されて解決です。

 

数百万円がかかった立証。普通の弁護士には到底不可能と断言できます。

 

【事案】

自動車で通勤中、交差点で後方よりの左折車の巻き込みで受傷、膝と手首を傷めた。後にTFCC損傷(三角線維軟骨複合体損傷が判明した。

20141203_1続きを読む »

【事案】

バイクで高速道路を直進していたところ、前方の車両に追突した。全身を強打し、特に両手関節の手根骨を骨折した。 20110829_2 【問題点】

両手は舟状骨骨折以外にも母指中手骨骨折や橈骨遠位端骨折等、多発骨折であった。補償は明らかに本人の過失が100%で相手の自賠責が使えない。さらに、自身も任意保険未加入で、相手自動車の修理費を弁償しなければならない。

幸いにも会社で傷害保険に唯一加入していた。一週間後に入院し、手関節を手術、それぞれ入通院と手術について保険金を得ることができた。

その後、肩腱板損傷も判明したものの、事故から一定期間を過ぎてからの診断で疑われる可能性が高い。いずれにしても、しっかり後遺障害を立証して、後遺障害保険金を得る事が最大目標となった。

【立証ポイント】

まず、両手首のCTと肩のMRIを撮影依頼。主治医も協力的であり、快諾いただけた。手首には依然として痺れや痛みがあるが、癒合状態は問題ないとのこと。肩腱板に軽微な損傷があったが、可動域は痛みのみではなく、拘縮の方が強いとの事。念の為に肩と手首両方の可動域を計測していただいた。

診断書には両手首の疼痛や可動域を記載してもらい、自社認定で申請する。両手関節は2週間もかからずに併合9級が認定されたが、やはり、肩腱板損傷の可動域は否定された。もっとも、肩関節は14級レベルなので認定・併合しても保険金は増えない。

最後に、相手自動車への弁償はこの保険金から支払うことができた。

(平成28年2月)

続きを読む »

【事案】

自転車後部座席に同乗中、その自動車がセンターラインオーバーして対抗自動車に正面衝突。ほぼ100:0の事故。運転手は死亡、同乗者もそれぞれ骨折等ケガを負った。中でも本件の被害者は4本の手足すべて骨折した。

【問題点】

高齢のために骨癒合に時間がかかった。可動域は回復傾向であるものの、右肘の変形が気になった。幼少の頃、腕を骨折したそうで、当時の医療環境と処置ではこの変形は仕方ないと言える。この変形の影響を本件事故と区別・排除する必要があった。

【立証ポイント】

高齢者とはいえ、できるだけ早期の固定を目指し、受傷1年で症状固定とした。しっかり可動域計測に立ち会い、幼少時の骨折による尺骨の変形について医師と相談した。これを既往症として区別、機能障害:12級6号を確保した。左上腕については幸い機能障害等残らず回復した。

※ 併合のため分離しています。

(平成26年10月)   

続きを読む »

【事案】

原付バイクで直進中、左方脇道から合流してきた自動車と衝突した。初期の診断名は各部の打撲・捻挫のみ。右手首は手関節捻挫のまま6ヶ月保存療法が続き、症状固定・後遺障害申請を迎える。結果は当然に「非該当」。毎度おなじみ、TFCC損傷(三角線維軟骨複合体損傷)が見逃された。 c_g_j_42 【問題点】

当初は知人の紹介で弁護士に依頼した。この弁護士のアドバイスでMRI検査を実施、TFCC損傷がようやく診断された。そして、尺骨の亜脱臼を伴う症状から手術を選択、具体的には靭帯の縫合と尺骨の短縮術(骨切り)でTFCCへの尺骨突き上げの除去を目標とした。

その後、尺骨を固定したプレートが折れて再手術、半年後にプレート抜釘、また、縫合部に腫瘍を併発、その切除など、合計4回の手術を行った。

しかし、初期診断・MRI検査の遅れや、1年4ヶ月の治療中断期間があり、TFCC損傷の立証は相当な難易度に跳ね上がっていた。その間、頼りとする弁護士は相手保険会社に対して治療費の再開や過失割合の交渉を進めてくれたものの、肝心の後遺障害には腰が引けて・・ついには投げ出してしまった。

【立証ポイント】

弁護士を解任し、知人から再度、当方に紹介された。まず、カルテ開示にて手術の経過を丹念に追いかけた。全容を把握した上で主治医に診断書を依頼、受傷から4年を経て、ようやく正しい後遺障害診断書が完成した。申立書では治療経過を丁寧に説明し、手関節の可動域は手術で改善したものの、疼痛や握力の低下など、尚も残存する症状を訴えた。

初期診断の遅れ、治療期間の空白など問題点が多く、TFCC損傷との因果関係は疑問符をつけられたが、数度の手術を実施した点から、痛みの残存だけは信じていただけた。

非常に苦しい言い訳ばかりの異議申立てながらギリギリの認定。またもや自賠責の好意的判断に助けられた。

(平成27年7月)  

続きを読む »

【事案】

自動車搭乗中、踏切前で停車のところ、大型車に追突される。その際、頚椎捻挫、胸腰部挫傷等の診断名に加え、後にTFCC損傷(三角線維軟骨複合体損傷が加わる。専門医に受診し、手首は手術で断裂部を縫合した。 c_g_j_42 【問題点】

追突事故でどのように手首を痛めたのか?受傷機転が問題となる。また、胸腰部についても圧迫骨折が見つかったが、これも画像をみると陳旧性と思われる。多くの謎を残しながら治療はダラダラ3年も続いていた。

【立証ポイント】

とにかく各科の医師に面談して事情を聴き、症状固定へ進めた。治療実績から頚椎捻挫は14級9号を確保しつつ、胸腰椎は諦める、手首は専門医の診断書次第とした。後遺障害診断書は3枚にまとめ、膨大な時間をかけて3年間の診断書、画像を集積した。

申請後、案の定、調査事務所から各科へ医療照会が入った。それぞれ対処した結果、手首について受傷機転は謎だが手術を伴う治療経過から14級9号が認められた。

(平成26年7月)  

続きを読む »

【事案】

自転車で交差点を横断中、左折するトレーラーに巻き込まれ、右手関節(尺骨遠位端、手根骨、第二中手骨)、右足関節(両顆部)を骨折した。手関節、足関節共にプレート固定を施行した。

手根骨は具体的に大菱形骨、有鉤骨の骨折。

【問題点】

画像上、10級レベル(2分の1以下)の可動域制限が見込める。しかし、主治医は多忙で後遺症に協力的ではない。計測など面倒なようで、あまり時間をかけてくれない。健側(掌屈90°背屈90°・・柔らかい)に対して患側(掌屈70°、底屈30°)であった。つまり合計(180:100°)、10°足らずで10級を逃している状態。それでも足関節で10級認定が確実な為、併合9級の結果となる。医師の機嫌を考え、橈屈・尺屈の計測は諦めた。 kansetu_15 【立証ポイント】

申請後、調査事務所から醜状痕(手術創)の計測の追加依頼がきた。これを理由に再度、医師面談を行った。「先生のせいで再調査が来ちゃったよ!」と主治医を責め、傷の計測(醜状痕の基準以下であったが・・)はもちろん、橈屈・尺屈も改めて計測いただいた。 kansetu_16 結果は橈屈・尺屈が2分の1以下制限となり、掌屈・背屈の10°足らずを繰り上げて10級10号に。手関節は12級であっても併合9級の結果は変わりません。調査事務所は正確な認定にこだわっているのか・・かなり生真面目に審査していているようです。

※ 併合の為、分離しています

(平成26年5月)   

続きを読む »

【事案】

バイクで交差点を直進中、対向右折自動車と衝突して右手首を骨折したもの。救急搬送後、プレート固定とした。理学療法を継続、半年後に症状固定を迎えた。

【問題点】

相談会で計測のところ、掌屈+背屈が2分の1ギリギリの数値であった。また、画像上、変形・転位など、癒合状態の説明が必要であった。

【立証ポイント】

医師面談にて、癒合状態にやや変形が残ること、手根骨に骨挫傷があることなど、詳細な記載を促した。計測もしっかり見守り、間違いのない数値を記録した。

以上、丁寧な作業で期待通り10級10号を固めた。

(平成26年10月)

続きを読む »

【事案】

バイクで渋滞の2車線道路の間を走行中、左側の自動車が急に車線変更したため衝突、右手首、左手甲を骨折したもの。その後、1年の通院を経て症状固定前に相談会に参加された。

【問題点】

まず画像である。粉砕骨折した橈骨を確認、骨折の割に癒合状態はまずまず。続いて可動域の計測をしたところ4分の3制限を計測。以上から12級6号を予断したが、これではあまりにも普通の対応。数多くの相談先から私たちを選んでいただいたが、期待に応えることができたのか?何か物足りなさを感じた。

【立証ポイント】

橈骨骨折3w2相談会後、画像を改めて読影したところ尺骨の茎状突起部が骨片化していることに気付いた。もちろん診断名はない。これは以前にも経験したパターン。早速、主治医に面談し、指摘したところ「あ、確かに骨片化しているね。これは手首に深刻な影響はないけど、診断名が必要なの?」と。そこで、後遺障害診断書に「尺骨茎状突起部骨折、癒合不良、骨片化」と改めて記載、長管骨の変形欄に「イ 仮関節」に〇をしていただいた。

これでお解りと思いますが、変形の12級8号が加算されます。人体への影響や治療上軽視されようが立派な後遺障害、可動域制限12級と併合、11級とした。おまけに左手の中手骨骨折には神経症状の14級9号も付けた。

余すところなく後遺障害を拾い出す・・これは治療を行う医師とは違う視点です。画像を観ない法律家に相談していたら12級に留まり、数百万円を失うことになったのです。

※ XPはサンプル画像

(平成26年10月)  

続きを読む »

【事案】

自動車搭乗中、渋滞で停車していたところ、後続車の追突を受け、前車にも衝突、さらに中央分離帯にまで弾き飛ばされた。その際、ハンドルを握ったまま肘を強打し、以来、肘から手指にかけてしびれに悩まされる。 理学療法を継続したが症状の消失には至らず、9か月後に症状固定し後遺障害申請するも「非該当」の判断となった。

【問題点】

器質的損傷がない、つまり、骨折や靭帯損傷がなく、自覚症状のみのケース。これでは「打撲程度で大袈裟な」と判断されてしまう。しびれの原因を立証する必要がある。

【立証ポイント】

基本通り、まずMRI検査、そして神経伝導速度検査を実施する。 MRIでは神経の絞扼(締め付けられている様子)を描出することを期待した。医師の読影によると、上腕骨尺骨神経周辺に液体貯留がみられた。やや甘い所見であるが、これを神経損傷もしくは絞扼の原因と主張した。しかし、肝心の神経伝導速度検査では有意な数値は得られなかった。 したがって、受傷機転の詳細な説明に加え、症状の経過をつぶさに説明=症状の一貫性を訴える方針に転換、14級9号に標準を絞った。

結果は「客観的な医学的所見には乏しく・・」も、受傷様態、症状推移、治療経過から14級9号を認めて頂いた。こちらの意図と回答が一致した結果となった。

(平成27年2月) 

続きを読む »

【事案】

バイクで直進中に、突然左折してきた自動車に巻き込まれたもの。

【問題点】

右環指のオーバーラッピングが見られた。骨折部の関節面の不整を確認する必要があった。 c_g_j_48 【立証のポイント】

MRI撮影を依頼し、関節面の状態について明らかにする。

オーバーラッピングについては写真を添付。後遺障害診断書にもその旨ご記載いただいた。

14級7号の認定の可否が要点であったが、神経症状として14級9号の認定であった。骨癒合の状態からすると、14級9号の認定は残念ではあるが妥当であると思われる。

(平成27年1月)    

続きを読む »

【事案】

オートバイを運転し信号交差点に進入したところ、対向車線から自動車がUターンを始め、避けきれずに衝突したもの。

【問題点】

最初左橈骨骨幹部骨折と尺骨茎状突起骨折のみの診断で、舟状骨骨折に関する治療が行われていなかった。その後、遅れて手術するもなかなか癒合が得られず、2度にわたる手術で何とか癒合。 20150701_1【立証のポイント】

尺骨茎状突起が偽関節になっていたため、その部分も漏らさず後遺障害診断書に記載頂く。無事に12級8号が認定される。

※併合のため分離しています。

(平成26年2月)        

続きを読む »

お問い合せはお気軽に!

事務所メンバー

「交通事故被害者救済」がスローガン! 病院同行に日夜奔走しています。解決まで二人三脚、一緒に頑張りましょう。

代表者略歴を見る!

部位別解説 保険の百科事典 後遺障害等級認定実績(初回申請) 後遺障害等級認定実績(異議申立)

今月の業務日誌

2026年5月
« 4月    
 123
45678910
11121314151617
18192021222324
25262728293031

月別アーカイブ