(4)後遺障害のポイント
① 脳実質に損傷の無い、軽度(亀裂骨折等)の側頭骨骨折・迷路骨折
高次脳機能障害のような重篤な認知障害を残すことは、ほとんどありません。しかし、難聴、耳鳴り、めまい、ふらつき、顔面神経麻痺など、日常生活上、見過ごせない後遺障害を残すことになり、シッカリと立証して等級を獲得しなければなりません。
本件の後遺障害では、症状を訴えるだけでは、等級の認定に至りません。画像などにより、器質的損傷を突き止め、自覚症状との整合性を立証しなければなりません。治療先の多くは、耳のXP、頭部のXP、CT撮影のみですが、側頭骨のターゲットCT(※)の撮影は、後遺障害の立証では必須となります。

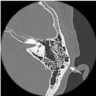
③ 画像検査
★ 側頭骨のターゲットCT
耳を中心に、耳小骨の細かい変化を撮影する方法です。耳の構造は、骨によって作られているので、骨の変化を見ることにより、種々の外傷性変化を確認することができ、撮影時間が短く、小さな子どもでも耐えられる検査です。

★ 側頭骨ターゲットCTの利点
1. ターゲットCTは、他の検査に比べて、解像度が良く、骨の描出に優れている
2. 1mm以下のスライス厚で再構成が可能で、より細かいものまで見ることができる
3. 撮影時間が5分と短く、患者さんの負担が軽い
4. 横断像だけなく、CTの3次元データから冠状断を作成することが可能である
外耳や中耳では、その中に空気が、内耳にはリンパ液、内耳道には髄液、液体が入っています。このように、骨以外の軟部組織や液体の観察では、MRI検査が行われています。
★ 高分解能CT=HRCT(ヘリカルCT)
1回転0.5秒の短時間高速スキャン、1回の息止めで全身の撮影が可能であり、1mm幅のスキャンによる高空間分解の画像が得られる最新鋭のCTです。従来のCTとの違いですが、従来のCTはスキャンとスキャンの間に休止時間を設け、スライスの位置を変えるために患者さんを移動させていました。 ヘリカルCTはテーブルが定速度で動いている間に連続撮影していく方法です。 したがって1回の呼吸停止で撮影が終了します。例えとして、リンゴの皮をイメージしてもらえば分かりますが、得られる情報が切れ目のないデータであるため、病変の見逃しが少なく、そのデータを基に切れ目のない3次元画像が作れます。HRCTによる側頭骨のターゲット撮影であれば、完璧です。
④ 症状別アプローチ
a 難聴・耳鳴り・めまいについて
側頭骨には、聴覚の神経、体幹のバランス機能を担う平衡感覚の神経、顔面表情筋をコントロールする顔面神経など、さまざまな神経が走行しています。
側頭骨々折で、これらの神経が障害されると、神経症状が出現します。難聴は、音を三半規管に伝える部分が障害されて起こる伝音性難聴と、三半規管から聴神経を経て脳に至る部分に起こる感音性難聴に分けられます。伝音性難聴であれば、一定の治療が可能ですが、感音性難聴では、聴力の回復は困難となります。
聞こえが悪いときは、骨折が中耳におよび、鼓膜の破裂や、耳小骨が損傷している可能性があります。さらに、耳鳴り、めまいが合併していると、内耳も同時に障害されていることを意味しています。
難聴では、オージオメーターによる純音聴力検査とスピーチオージオメーターによる語音聴力検査の2つで立証しなければなりません。7日間以上の間隔で、3回の検査を受け、2、3回目の測定値の平均で等級が認定されています。

9級9号、10級6号の上位等級が予想されるときは、上記の検査に加えて、ABR=聴性脳幹反応、SR=あぶみ骨筋反射検査を受けて、難聴を立証しておけば、完璧です。追って、耳の障害で詳しく解説します。
耳鳴りが認められたケース 👉 12級相当:耳鳴り(60代女性・埼玉県)
b 顔面神経麻痺について
後の顔面神経麻痺で解説します。
c 頭部外傷について
側頭骨は、脳を支える頭蓋を構成する骨の1つですから、脳にダメージを受けていると、意識障害も予想されます。硬膜下血腫→脳腫脹ともなれば、緊急手術が生死を分けます。また、症状が軽度であっても、漏れなく高次脳機能障害の立証で対応することになります。
耳鳴りだけではなく、高次脳機能障害も認められたケース 👉 9級10号:高次脳機能障害(60代女性・埼玉県)
d 髄液耳漏、髄液鼻漏について
骨折によって、耳から出血すること、そこに細菌感染により膿みが出ることもあります。サラサラとした水、液体が出てくるときは、脳脊髄液の流出=髄液漏が考えられます。これは頭蓋低骨折に同じです。
また、鼓膜や耳小骨、三半規管、聴神経など、聴覚にかかわる器官だけでなく、顔面神経なども変形したり、切断されたり、血液に圧迫されたりして損傷されます。このため、難聴、強いめまい、顔面神経麻痺などがおこります。
次回 ⇒ 頭部外傷 ⑦ めまい





